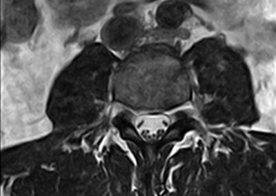
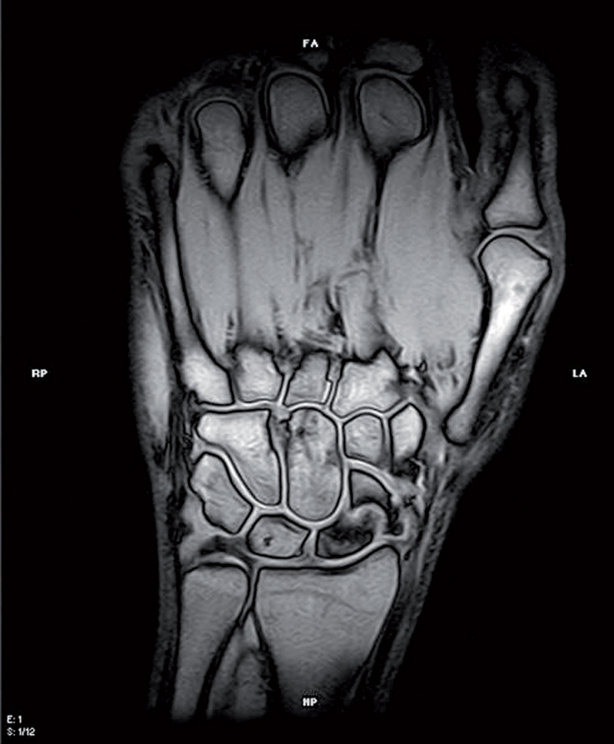
■ S-scan je špecializovaný MRI systém S-scan predstavuje najnovší vývoj technológií Esaote v oblasti MRI. Je dokonale v súlade s dnešným úsilím o efektívnu a ekonomickú zdravotnú starostlivosť a je rozumnou voľbou pre každú prax s veľkým množstvom muskuloskeletálnych výkonov
■ Otvorená brána: jednoduchý prístup k pacientovi, žiadna klaustrofóbia
■ MR zobrazenie na displeji v reálnom čase: pre zabezpečenie rýchleho a presného polohovania
■ Zmestí sa do 18 m2
■ Kompletná sada cievok
■ Vďaka inovatívnej a špeciálnej technológii je Esaote lídrom v oblasti vyhradenej muskuloskeletálnej MRI s viac ako 2000 systémami inštalovanými po celom svete. Neustále sa rozrastajúca rodina inovatívnych špecializovaných MRI systémov sa môže pochváliť spoločnými rysmi, ako je jednoduché použitie, otvorený ergonomický dizajn, ktorý zaručuje optimálny komfort pre pacienta a efektívnosť nákladov.
■ ESAOTE je významná nadnárodná spoločnosť, zameraná na výrobu zdravotníckej techniky. Zaoberá sa vývojom a výrobou diagnostických ultrazvukov, systémov EKG a magnetickej rezonancie. Firma je svetovým lídrom vo výrobe končatinovej magnetickej rezonancie a v posledných rokoch sa radí mezi najväčších renomovaných výrobcov ultrazvukových systémov na svete.
■ Od roku 1998 je súčasťou spoločnosti ESAOTE S.p.A. aj spoločnosť PIE Medical so sídlom v Maastrichte v Holandsku.
■ Firma ESAOTE S.p.A. je dominantným výrobcom ultrazvukových diagnostických systémov v Európe.
■ Hlavné vedenie koncernu sídli v Taliansku v meste Janov. Ďalšie pobočky a výrobné podniky sa nachádzajú vo Florencii v Taliansku, v Nemecku, Francúzku, Holandsku a Rusku. Za výrobky firmy ESAOTE S.p.A. stojí silný potenciál vývoja, výroby, servisu a financovania. To prináša partnerom kvalitu, stabilitu a istotu pre budúcnosť.
Za rok 2016 bol WEGA-MS spol. s r.o. vyhodnotený ako spoľahlivý partner vo verejnom obstarávaní. Na základe tohto hodnotenia bola podniku v hodnotiacom informačnom systéme udelená Pečať spoľahlivosti za rok 2016.
Za výsledky do roku 2016 bol WEGA-MS spol. s r.o. vyhodnotený ako stabilný podnik. Podiel stabilných podnikov s 20 ročnou tradíciou predstavuje len 1,8% a preto mu bola udelená v hodnotiacom systéme Pečať stability.
KONTAKTUJTE NÁS | 0948 024 452 | 033 774 7242 | wega-ms@wega-ms.sk
